
ATTENTION PEOPLE STRUGGLING WITH DEPRESSION IN FRISCO
At Frisco Quick Care we use Non-Invasive and FDA-Approved Transcranial Magnetic Stimulation (TMS) designed to help people who suffer most from anxiety to start feeling better again.
82% see improvement, but what is TMS?
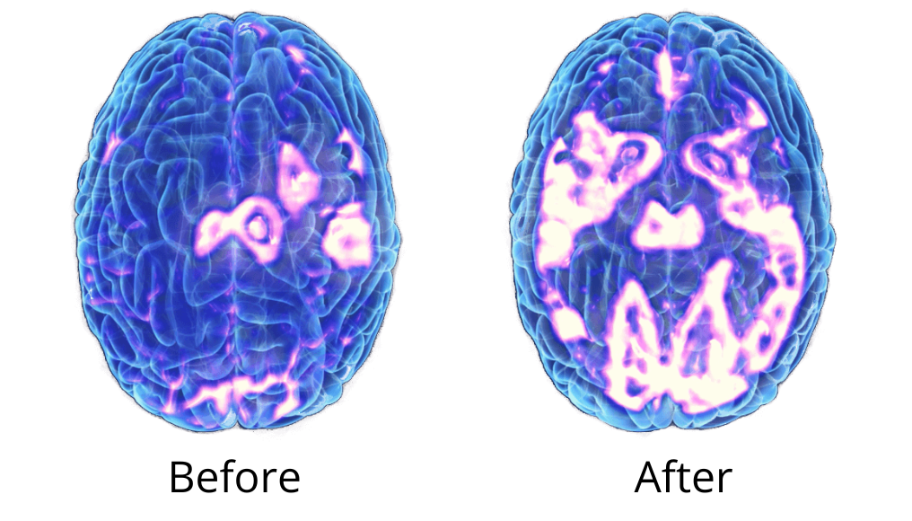
Transcranial Magnetic Stimulation uses strong, magnetic pulses distributed through a coil to regulate the neural activity of brain structures associated with depression.

No Systemic Side Effects: While you may feel slight pressure on top of your head, most patients adapt to the sensation after just a couple of sessions.
21 Day Difference: An analysis of 1,753 patients showed that the average patient achieved a sustained response after just 16 treatments.
Medication Free: Rest assured, you do not have to start a new medication regimen throughout TMS.
Fill in the details below👇
Most traditional approaches treat anxeity as something you need to “medicate or think your way out of.”
Many patients tell us they feel stuck, like no matter how much therapy, effort, or medication they’ve tried, their mood, or racing thoughts keeps pulling them back into the same patterns.
That’s because for many people, symptoms aren’t just psychological.
They’re linked to overactive or dysregulated areas of the brain involved in mood, motivation, and emotional control.
Transcranial Magnetic Stimulation (TMS) uses focused magnetic pulses to stimulate specific regions of the brain associated with mood regulation, particularly areas that may not be communicating effectively.
When these areas are reactivated and regulated over time, the brain can begin forming healthier, more balanced patterns of activity.

…happy patients, great reviews
I absolutely love this clinic. They are super friendly and actually care about their patients. And with extended hours on weekends and nights it makes my life a little less hectic.

I had an excellent experience with Dr. Gowani. From the moment I walked in, I felt welcomed and at ease. The staff was professional and friendly, and the check-in process was smooth and efficient. Dr. Gowani was attentive, compassionate, and incredibly knowledgeable. They took the time to listen to all my concerns without rushing, explained my condition clearly, and answered every question thoroughly. I truly felt heard and cared for throughout the visit.

I had a great overall experience. It was my first time there, so I wasn’t sure what to expect. I was able to make a convenient appointment and spent little time waiting. The nurse practitioner was friendly and throughout and I was in and out quickly. The office is very clean and inviting and I would definitely return.

Everyone was extremely kind, caring, and professional. Super quick in and out. Would definitely return here or recommend to anyone. While the phrase "improve your life" is vague, I used it to illustrate the versatility of neurofeedback and its subsequent benefits. I will soon begin my college career. I feel that the treatments I have received have put me in a position where I can succeed without reservation.

The dr had excellent bedside manners and was very compassionate with my symptoms

I am always able to see Dr. Gowani when I need to. I’ve never had a bad experience here.

'No Commitment' and 100% Confidential
Fill in the details below👇
Yes. TMS is a non-invasive, FDA-cleared treatment that uses magnetic pulses to stimulate specific areas of the brain. It does not require medication, anesthesia, or surgery, and has been studied extensively for safety.
Many patients begin noticing changes within the first few weeks, though response time varies. TMS works cumulatively, meaning benefits tend to build over the course of treatment rather than overnight.
Yes. A referral is not required to start an evaluation. You can schedule directly with us, and we’ll determine whether TMS is an appropriate option during your assessment.
In many cases, yes. Depression is linked to underactivity in specific brain regions responsible for mood regulation. TMS targets these areas directly, helping restore healthier brain activity patterns rather than simply masking symptoms.
TMS is commonly used for depression, especially when other approaches haven’t helped. It may also support symptoms such as low mood, lack of motivation, brain fog, and emotional numbness. Each treatment plan is tailored to the individual.
This page is not affiliated with or endorsed by Google, Facebook, or any other platform used to promote this offer.
Disclaimer: This content is provided for educational and informational purposes only and is intended to support general understanding of transcranial magnetic stimulation (TMS), brain function, and neuroscience-based approaches to mental health care. It is not medical advice, psychotherapy, or a substitute for professional medical, psychological, or mental health care, diagnosis, or treatment. This material does not diagnose, treat, cure, or prevent any medical or psychological condition. It does not constitute the provision of medical services, psychiatric care, or crisis intervention. Any references to TMS are presented in an educational context and should not be interpreted as a recommendation or guarantee of outcomes. Engagement with this content should not replace evaluation or treatment by a licensed healthcare professional. If you are experiencing severe psychological distress, suicidal thoughts, unmanaged trauma, or have a diagnosed mental health condition requiring clinical care, you are strongly encouraged to seek immediate support from a qualified medical or mental health provider. TMS treatment, when appropriate, is provided only following proper clinical assessment and under the supervision of licensed professionals. Individual responses to TMS and related interventions may vary. By engaging with this content, you acknowledge responsibility for your own physical, mental, and emotional well-being and choose to participate voluntarily and at your own discretion.